Dental fillings make up a huge percentage of the work that is done in the dental field. Chances are, most of the people you know have either had or need a filling. If you notice discoloration, pain, or a hole in your tooth, set an appointment up to see if a filling is a good option for you!
Most fillings are needed due to the growth of baterica. If bacteria is left unchecked in the mouth, the bacteria will start to produce acids that will eat away at the enamel and dentin of the tooth. As the acid eats away on the tooth, cavities start to form. These cavities will need to be filled as soon as possible to prevent further decay and further break down of the tooth. Fillings done in a timely manner can help in preventing the need of root canals.
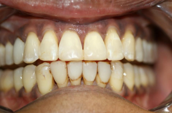
To fill the cavities in your teeth, we use a tooth colored material called composite. Composite is a great alternative to using amalgam to filling cavities because patients are left with natural looking teeth instead of the presence of amalgam in the teeth. Composite comes in a variety of colors so that we can match your tooth shade so that it will potentially not even look like you had a cavity in the first place.







