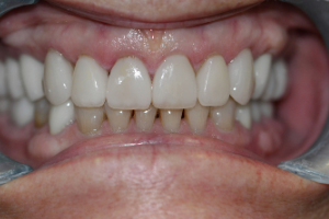
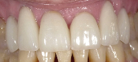
Veneers are thin, semi-translucent “shells” typically attached to your front teeth. Veneers are customized from porcelain material and permanently bonded to your teeth. Veneers are a great alternative to otherwise painful dental procedures to improve the appearance of your smile.
Spaces between the teeth
Broken or chipped teeth
Unsightly, stained or discolored teeth
Permanently stained or discolored teeth
Crooked or misshapen teeth
Veneers are a great aesthetic solution to your smile that may even help you avoid orthodontic treatment. Subtle changes to your smile can be achieved with veneers, and in most cases, veneer application is completed in only two office visits.
.png)
.png)
.png)
.png)
.png)
.png)
.png)
.png)
.jpg)
.jpg)
.jpg)
.jpg)












.png)

.png)
.png)