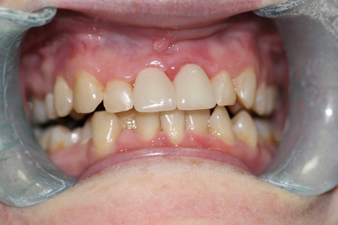
A crown is a permanent covering that fits over an original tooth that is either decayed, damaged or cracked. Crowns are made of a variety of different materials such as porcelain, gold, acrylic resin or a mix of these materials. Porcelain generally has the most natural appearance, although it is often less durable.
Bridges are multiple crowns that are connected together as a single piece.
Numbing the tooth to remove the decay in or around it.
Re-sculpturing the tooth to provide an ideal fit for the crown.
Making an impression of your teeth in order to create a custom-made crown (usually takes one to two weeks).
Making a temporary crown out of acrylic resin and fitting it onto the tooth during the interim period when the permanent custom-made crown is being created.
Applying the permanent crown (when received from the lab) by removing the temporary crown and fitting the permanent one onto the tooth. After ensuring that the crown has the proper look and fit, the dentist cements it into place.
This process generally consists of a minimum of 2-3 visits over a three to four week period.Once the procedure is completed, proper dental hygiene, including daily brushing and flossing is required to maintain healthy, bacteria-free teeth, gums and crowns. This helps in the prevention of gum disease. Given proper care, your crowns can last a lifetime.





